Soft Tissue - Subcutaneous Air in Necrotizing Fasciitis

← Back to List

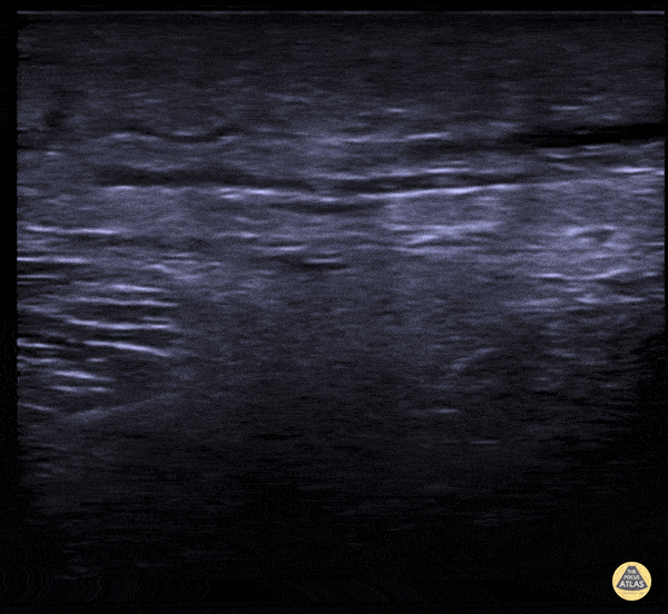
Soft Tissue - Subcutaneous Air in Necrotizing Fasciitis

Caption

A middle aged male presented to the ED for left leg pain after sustaining puncture wound to the foot 4 hours prior arrival. The ultrasound image demonstrates free air causing dirty shadowing seen deep to the fascial plane obscuring the normal muscle architecture in the middle of the screen. Nicmarie Maldonado, MD PGY-2; Eddie G. Rodriguez, MD; Miguel Agrait, MD; Michelle Surillo, MD - Division of Emergency Ultrasound, St. Luke's Medical Center/PHSU, Ponce, PR

Source

https://www.thepocusatlas.com/softtissuemsk


Metadata