EA Echo Examples - Apical Four Chamber with Pleural Effusion

← Back to List

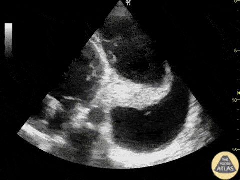
EA Echo Examples - Apical Four Chamber with Pleural Effusion

Caption

38-year-old woman admitted to the ER with complaint of progressive dyspnea. Apical four chamber view on the FOCUS exam showed atelectasis of left lung from a huge pleural effusion next to the heart. Image courtesy of: Dr. Renato Tambelli, Emergency Department of Marilia Clinic Hospital, São Paulo, Brazil / POCUSJEDI Team @JediPocus

Source

https://www.thepocusatlas.com/echocardiography


Metadata