Soft Tissue - Foreign Body - Wooden Cocktail Stick

← Back to List

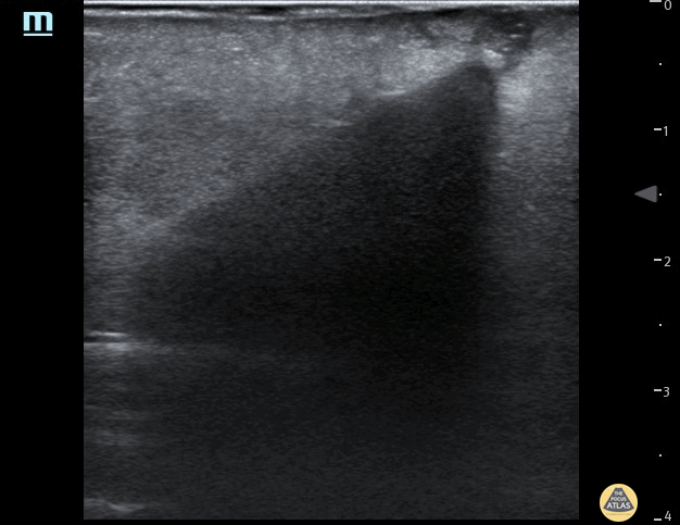
Soft Tissue - Foreign Body - Wooden Cocktail Stick

Caption

35 year female presented to the Emergncy Department with a self harm retained foreign body in the left forearm. The foreign body was a wooden cocktail stick not seen on x-ray. POCUS easily identified the cocktail stick by it's acoustic shadowing which allowed removal under local anaesthetic. Repeat POCUS scan showed no other foreign bodies. Dr Pete Hulme @Dr_Pete_EmMed

Source

https://www.thepocusatlas.com/softtissuemsk


Metadata