Pediatrics - Shoulder Dislocation and Reduction

← Back to List

Pediatrics - Shoulder Dislocation and Reduction

Caption

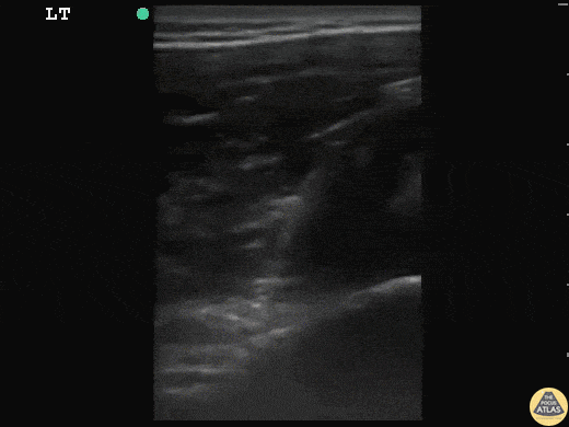
17 y/o basketball player with acute onset left shoulder pain after throwing a basketball across the court. "Feels like my arm is out of the socket." The patient was relocated with simple traction in less then 2 minutes. No x-rays were required. The head of humerus is dislocated posterior to the glenoid. After relocation it is flush with glenoid as seen. You can appreciate the musculature and rotator cuff throughout both images. Dr. Sathya Subramaniam, Pediatric EM Fellow - Kings County/SUNY Downstate

Source

https://www.thepocusatlas.com/pediatrics-1


Metadata