Pediatrics - Hydronephrosis (Mild)

← Back to List

Pediatrics - Hydronephrosis (Mild)

Caption

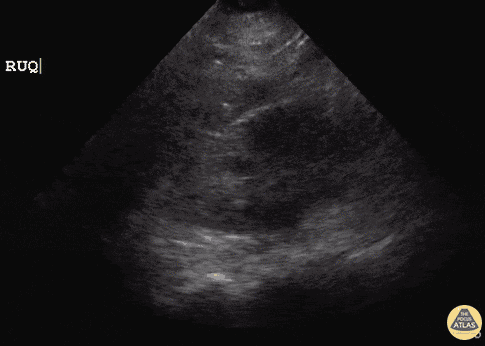
21 y/o female post-op emergency hysterectomy post uterine rupture with rising creatinine in surgical ICU. POCUS revealed right-sided mild Grade I hydronephrosis with appreciable dilated major calyces and renal pelvis. Initial concern is for obstructive process or ureter injury. Dr. Sathya Subramaniam, Pediatric EM Fellow - Kings County/SUNY Downstate

Source

https://www.thepocusatlas.com/pediatrics-1


Metadata