EA Echo Examples - Taking Turns
Caption
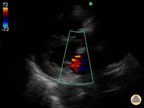
This was a patient who presented at the age of 98 who had become progressively more short of breath over the last several months and now had trouble getting around. Very sharp and witty woman, who wished to have no aggressive measures. She was tucked into the cardiology service for gentle diuresis and optimization of her heart disease. This parasternal long axis demonstrating alternating mild-moderate aortic regurgitation with moderate mitral regurgitation.