Pediatrics - Pneumothorax with Lung Point

← Back to List

Pediatrics - Pneumothorax with Lung Point

Caption

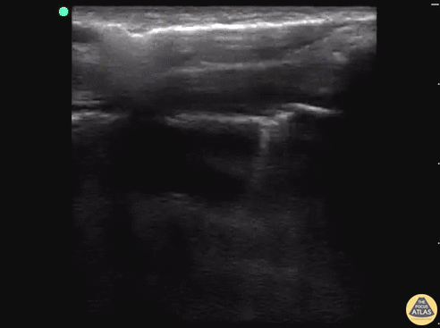
18 y/o M stabbed in the back presents to the trauma bay with left-sided chest pain and shortness of breath. E-FAST revealed decrease lung slide and a clear lung point. While decreased lung slide is highly sensitive, it lacks specificity. Lung point indicates the transition point between normal pleura with normal lung sliding (on the left side of the image) and where there is air disrupting the pleural space with decreased lung sliding (on the right side of the image). Lung point is a highly specific finding indicating a pneumothorax. Dr. Sathya Subramaniam, Pediatric EM Fellow - Kings County/SUNY Downstate

Source

https://www.thepocusatlas.com/pediatrics-1


Metadata