Pediatrics - Hydrocarbon Ingestion with C-Lines

← Back to List

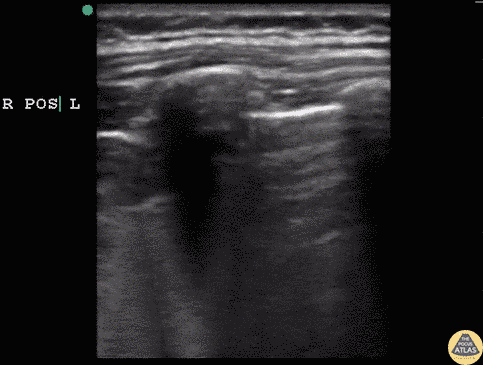
Pediatrics - Hydrocarbon Ingestion with C-Lines

Caption

5 year old male that drank out of container with gasoline and started coughing and was breathing fast. On exam appeared tachypneic, with air entry bilaterally and subcostal retractions. POCUS revealed bilateral infiltrates, confirmed with CXR. Infiltrate, similar to C lines seen in other consolidative processes, present in patient post hydrocarbon ingestion. This suggests an aspiration pneumonia. Dr. Sathya Subramaniam, Pediatric EM Fellow - Kings County/SUNY Downstate

Source

https://www.thepocusatlas.com/pediatrics-1


Metadata