Pediatrics - HOCM Hypertrophic Cardiomyopathy

← Back to List

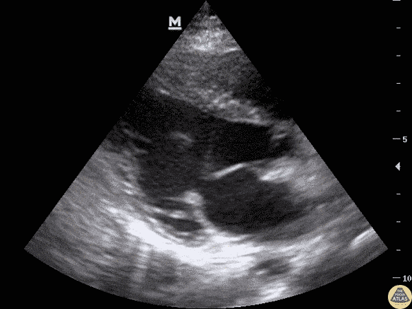
Pediatrics - HOCM Hypertrophic Cardiomyopathy

Caption

8-year-old with syncope while playing in school. EKG with some non-specific T wave inversions in precodial leads. No murmur, normal heart sounds. POCUS completed for concerning history and EKG changes. Interventricular septal hypertrophy seen on parasternal short and long views (concerning if measurement > 15mm). Dr. Sathya Subramaniam, Pediatric EM Fellow - Kings County/SUNY Downstate

Source

https://www.thepocusatlas.com/pediatrics-1


Metadata