Pediatrics - HOCM - Hypertrophic Obstructive Cardiomyopathy

← Back to List

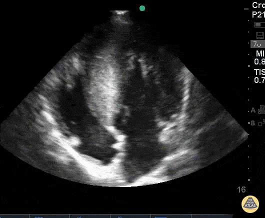
Pediatrics - HOCM - Hypertrophic Obstructive Cardiomyopathy

Caption

19 y/o came in after a syncopal episode playing video games. Got defibrillated in the field Vfib rate 200s. Bedside echo demonstrated global LVH with septal predominant thickening consistent with HOCM. Father has a history of ICD of “heart condition.” Dr. Dustin Morrow

Source

https://www.thepocusatlas.com/pediatrics-1


Metadata