Pediatrics - Hip Effusion

← Back to List

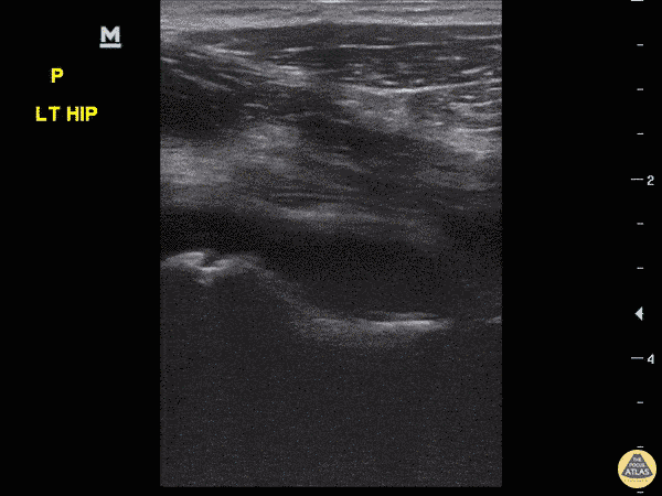
Pediatrics - Hip Effusion

Caption

8-year-old female with fever and upper left thigh pain starting last night. Refusing to bear weight and will not flex hip, discomfort with rotating hip. POCUS performed, revealed effusion. Still image comparing sides confirms effusion. Etiology of effusion remained uncertain. Dr. Sathya Subramaniam, Pediatric EM Fellow - Kings County/SUNY Downstate

Source

https://www.thepocusatlas.com/pediatrics-1


Metadata