Pediatrics - Head Imaging - Sagittal View

← Back to List

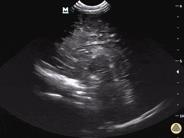
Pediatrics - Head Imaging - Sagittal View

Caption

The sagittal plane has the indicator marker facing the anterior aspect of the face and the ultrasound beam is swept in either the left to right or right to left direction of the patient’s shoulders. Please see our blog post for further information on this topic. Dr. Sathya Subramaniam - Childrens Hospital of Philadelphia Pediatric, EM Ultrasound

Source

https://www.thepocusatlas.com/pediatrics-1


Metadata