Pediatrics - Head Imaging - Coronal Plane

← Back to List

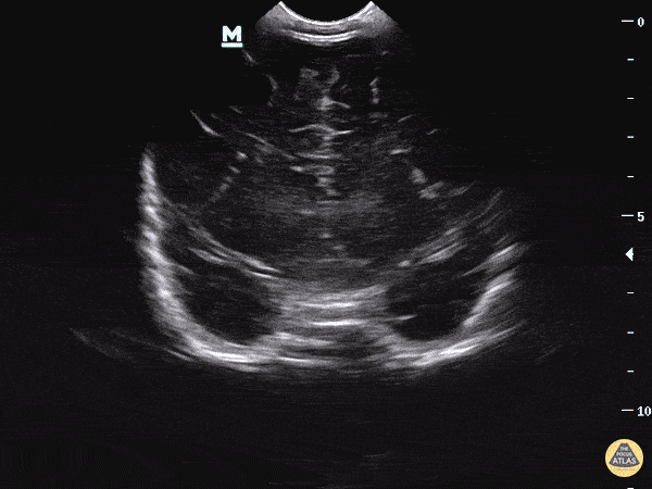
Pediatrics - Head Imaging - Coronal Plane

Caption

Please see our blog post for further information on this topic. The coronal plane has the indicator marker to the right and is placed on the anterior fontanelle. The ultrasound beam is swept from the anterior to posterior aspect of the head. Dr. Sathya Subramaniam - Childrens Hospital of Philadelphia Pediatric, EM Ultrasound

Source

https://www.thepocusatlas.com/pediatrics-1


Metadata