Pediatrics - Hydrocephalus - Extra axial Fluid

← Back to List

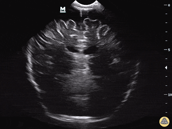
Pediatrics - Hydrocephalus - Extra axial Fluid

Caption

Extra-axial fluid overlying the superior portion of the frontal lobes in the patient from our blog post on the topic. 7 month old being followed by PCP for increasing head circumference, scheduled for outpatient MRI next week. Mother found patient was becoming somnolent with a full anterior fontanelle and brought the baby to the ER. POCUS performed immediately revealed unequal ventricle size, L>R, at which time neurosurgery was consulted, later CT, MRI performed as inpatient confirming obstructive hydrocephalus. Dr. Sathya Subramaniam - Childrens Hospital of Philadelphia Pediatric, EM Ultrasound

Source

https://www.thepocusatlas.com/pediatrics-1


Metadata