Pediatrics - Obstructive Hydrocephalus

← Back to List

Pediatrics - Obstructive Hydrocephalus

Caption

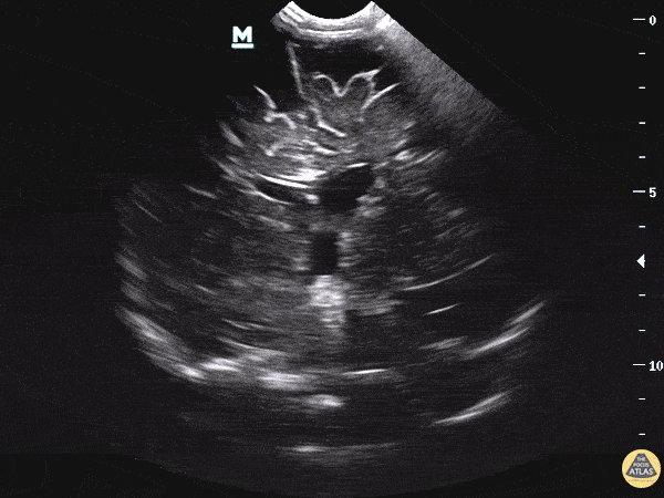
WCUME 2017 winner for "Novel Indication" - See our blog post for a deep dive on this topic! 7 month old being followed by PCP for increasing head circumference, scheduled for outpatient MRI next week. Mother found patient was becoming somnolent with a full anterior fontanelle and brought the baby to the ER. POCUS performed immediately revealed unequal ventricle size, L>R, at which time neurosurgery was consulted, later CT, MRI performed as inpatient confirming obstructive hydrocephalus. If you were in a community ER and CT will take a while, should you just POCUS first? How well can this see blood? Masses? Dr. Sathya Subramaniam - Childrens Hospital of Philadelphia Pediatric, EM Ultrasound

Source

https://www.thepocusatlas.com/pediatrics-1


Metadata