Pediatrics - Ductus Arteriosus (Patent)
Caption
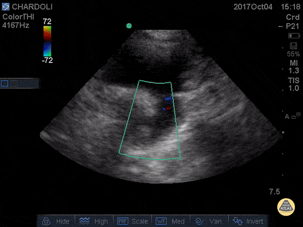
WCUME 2017 submission for "Best POCUS" 8 y/o M with undifferentiated dyspnea. POCUS reveals he has open PDA on aorta from suprasternal view. Dr. Nima Shekar Riz Fomani - Firoozgar General Hospital
WCUME 2017 submission for "Best POCUS" 8 y/o M with undifferentiated dyspnea. POCUS reveals he has open PDA on aorta from suprasternal view. Dr. Nima Shekar Riz Fomani - Firoozgar General Hospital