Pediatrics - Atrial Septal Defect, Positive Bubble Test

← Back to List

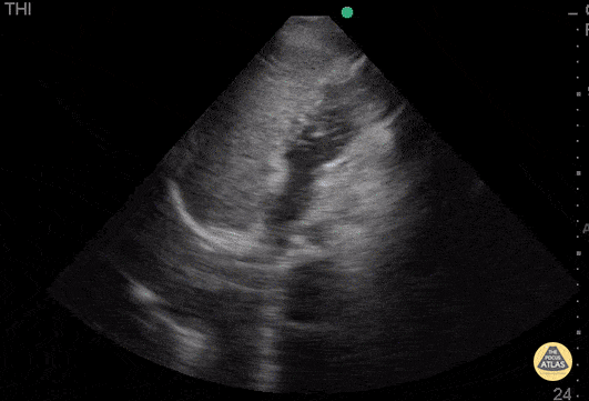
Pediatrics - Atrial Septal Defect, Positive Bubble Test

Caption

WCUME 2017 submission for "Novel Indication" Bubble test reveals an atrial septal defect seen as bubbles floating from the right side of the heart to the left side. An obvious defect can be seen. Dr. Mojtaba Chahardoli - Firoozgar Hospital

Source

https://www.thepocusatlas.com/pediatrics-1


Metadata