Pediatrics - Acute Chest Syndrome

← Back to List

Pediatrics - Acute Chest Syndrome

Caption

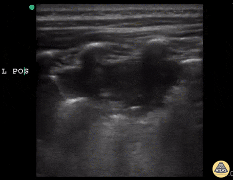
6 y/o sickle cell (HbSS) coughing with left-sided chest pain and 1 day of fever. Lungs without crackles, good air entry bilaterally. A consolidative process is seen with a hypoechoic region with posterior enhancement greater than 1cm in an area where normal A lines should be present. This is highly suggestive of acute chest syndrome given clinical features. Dr. Sathya Subramaniam, Pediatric EM Fellow - Kings County/SUNY Downstate

Source

https://www.thepocusatlas.com/pediatrics-1


Metadata