Aorta - Thrombosed Type B Aortic Dissection

← Back to List

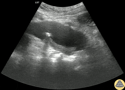
Aorta - Thrombosed Type B Aortic Dissection

Caption

60s M PMH HTN, CKD stage 3 presented with bilateral flank pain x2 days. CT of the abdomen/pelvis with IV contrast showed a 3.8 cm x 4.6 cm infrarenal AAA with a 3.1 cm L internal iliac aneurysm. POCUS of the aorta was obtained re-demonstrating the AAA. Dedicated CTA showed that there actually demonstrating aneurysmal dilation of the descending thoracic aorta with a thrombosed type B dissection. The patient was managed with aggressive blood pressure and heart rate control with esmolol and was admitted to the ICU for medical management. Dr. Henrik Galust, PGY4, Denver Health Residency in Emergency Medicine Dr. Nimish Bhatt, Fellow, Denver Health Ultrasound Fellowship

Source

https://www.thepocusatlas.com/aorta


Metadata