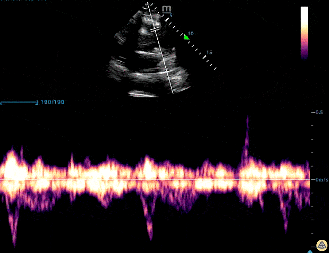
EA Echo Examples - Pulmonary Artery Mid-systolic Notching (aka MSN pattern)

← Back to List

EA Echo Examples - Pulmonary Artery Mid-systolic Notching (aka MSN pattern)

Caption

This image shows pulmonary artery mid-systolic notching, a sign of proximal impedance (e.g. PE, pulmonary hypertension), in a 63 yo man without prior pulmonary disease with pulmonary emboli on CTA. From the parasternal short-axis view at the level of the aortic valve (fan anteriorly/superiorly from the mitral valve level), visualize the right ventricular outflow tract, pulmonary valve, and pulmonary artery. Place the pulsed wave Doppler gate about 0.5 cm proximal to the pulmonary valve and generate the waveform by pressing the pulsed wave Doppler button again. Waveforms without impedance (i.e. normal) appear as smooth “domes.” Read more here: PMID 33781986 https://pubmed.ncbi.nlm.nih.gov/33781986/ Robert Adrian, MD. @RobertAdrianMD Emergency Medicine at Rutgers New Jersey Medical School Stephen Alerhand, MD. @SAlerhand Assistant Professor Rutgers New Jersey Medical School

Source

https://www.thepocusatlas.com/echocardiography


Metadata