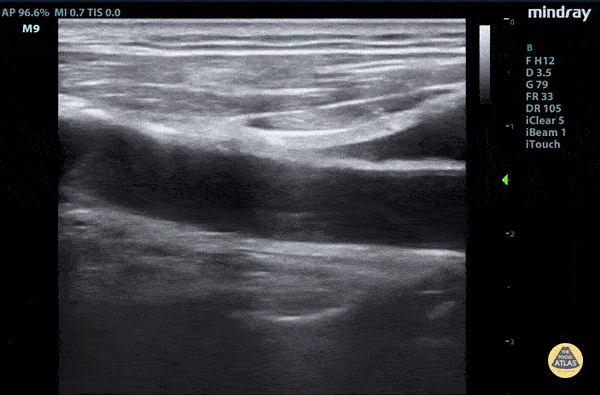
Aorta - Aortic dissection flap tamponade

← Back to List

Aorta - Aortic dissection flap tamponade

Caption

Elderly fellow who had a headache while bike riding, with some leg weakness. No chest or back pain. Stable for hours then came to hospital, suddenly hypotension and drowsy in ER POCUS RUSH Exam performed lead to rapid diagnosis of Aortic Dissection with tamponade. A dissection flap can clearly be visualized. Claire Heslop - Pediatric Emergency Medicine - University of Toronto Hospital for Sick Children

Source

https://www.thepocusatlas.com/aorta


Metadata