Aorta - Aorta Posterior Wall Rupture

← Back to List

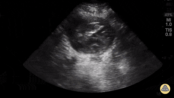
Aorta - Aorta Posterior Wall Rupture

Caption

63yoM witnessed collapsed. Arrived VSA with PEA rhythm. A fast look abdominal aorta POCUS showed a large abdominal aortic aneurysm with internal thrombus and rupture through the posterior wall. Note the AAA is measured from echogenic outer wall to outer wall, not the hypoechoic internal lumen that is seen pulsating. The patient was resuscitated aggressively with blood and initially survived operative repair. Unfortunately he died in the ICU several days later from multiorgan failure. Dr. Joey Newbigging

Source

https://www.thepocusatlas.com/aorta


Metadata