Aorta - Abdominal Aortic Aneurysm

← Back to List

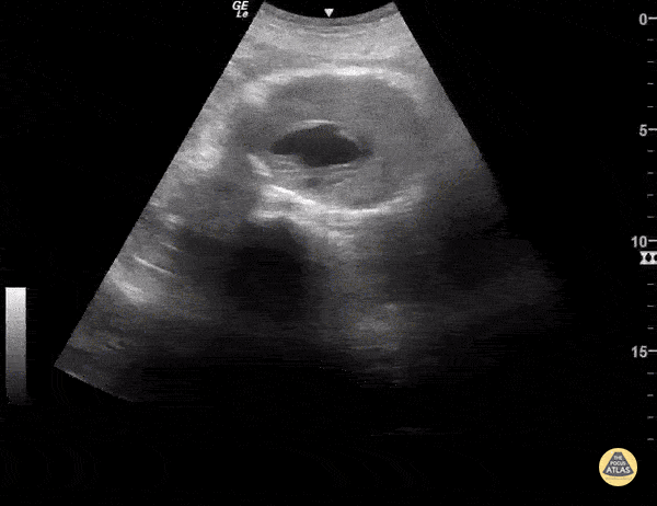
Aorta - Abdominal Aortic Aneurysm

Caption

AAA is defined as a localized balloon-like dilatation of the abdominal aorta greater than 3cm. Risk factors include male sex, increased age, and tobacco use. AAAs should be closely monitored for changes in size. Due to the risk of rupture, elective surgery is recommended when the dilatation is greater than 5-5.5cm, or it is growing in size by greater than 1cm/year. The classic triad of a ruptured AAA include pulsatile abdominal mass, hypotension and pain. This AAA has an intramural thrombus. Some studies have claimed that POCUS has a ~100% sensitive for increased diameter. 3cm from outer wall to outer wall defines an aneurysm. Slow, graded compression is key to move the bowel out of the way in any abdominal study. Sukh Singh, MD

Source

https://www.thepocusatlas.com/aorta


Metadata