Aorta - Abdominal Aortic Dissection (Transverse)

← Back to List

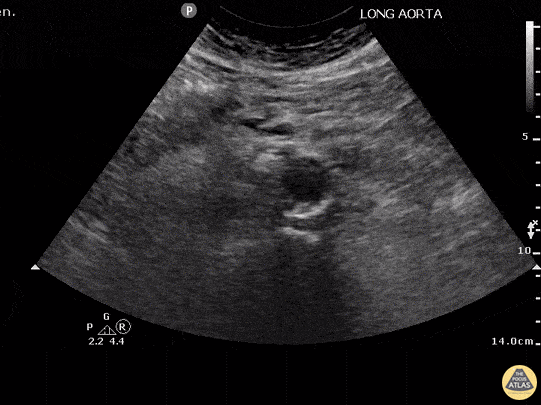
Aorta - Abdominal Aortic Dissection (Transverse)

Caption

Aortic dissection carries an incredibly high mortality that increases 1%/hour. POCUS can be used as a rule-in test to quickly identify this life threatening diagnosis. If a dissection is not seen on POCUS, CT angiography should still be performed because the sensitivity of POCUS is not as high as for other indications. The spine can be used as a landmark - the echogenic stripe with shadowing in the midline. The aorta is the large vessel anterior and slightly to the right of the spine. In this image an intimal flap can be seen in the anterior third of the aorta consistent with an aortic dissection. The IVC cannot be clearly visualized in this image but would normally be left, less pulsatile, with a less echogenic vessel wall. Non-visualization of the IVC is most often due to bowel gas or compression of the abdomen with the probe. Justin Bowra MBBS, FACEM, CCPU Emergency Physician, RNSH et al.

Source

https://www.thepocusatlas.com/aorta


Metadata