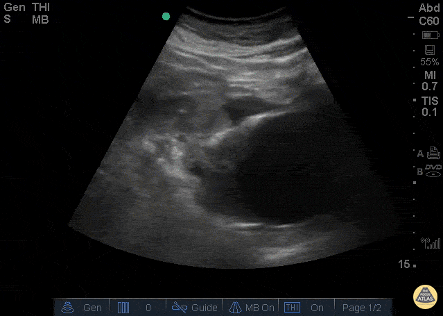
Aorta - Ruptured AAA

← Back to List

Aorta - Ruptured AAA

Caption

The clip above is from a patient who presented with abdominal pain and syncope. His vitals were notable for tachycardia and hypotension. The image demonstrates a very large abdominal aortic aneurysm with anterior free fluid suggestive of rupture. The patient was taken emergently to the operating room for endograft repair and did well. Jason Tanguay, DO

Source

https://www.thepocusatlas.com/aorta


Metadata