EA Echo Examples - RV Thrombus & McConnell's Sign

← Back to List

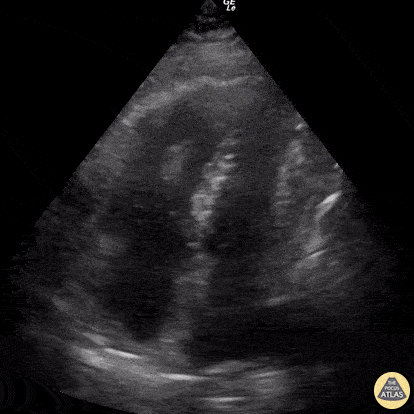
EA Echo Examples - RV Thrombus & McConnell's Sign

Caption

60 year-old smoker presents with dyspnea and chest pain. Apical 4 chamber view is notable for a thrombus within the RV and associated evidence of RV strain including increased RV size and impaired systolic function with sparing of the apex (known as McConnell’s sign). Renato Tambelli, @R_Tambelli Emergency Physician Hospital das Clínicas de Marília, Sao Paulo/Brazil

Source

https://www.thepocusatlas.com/echocardiography


Metadata