Aorta - Abdominal Aortic Aneurysm with Thrombus

← Back to List

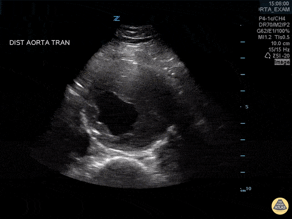
Aorta - Abdominal Aortic Aneurysm with Thrombus

Caption

Approximately 6 cm abdominal aortic aneurysm with intramural thrombus. Frances Russell, MD, RDMS Assistant Professor of Emergency Medicine Division Chief, Ultrasound Fellowship Director, Ultrasound

Source

https://www.thepocusatlas.com/aorta


Metadata