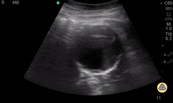
Aorta - Mural Thrombus in AAA

← Back to List

Aorta - Mural Thrombus in AAA

Caption

74 y/o F hx stage 4 lung cancer, AAA, presented with chest pain and SOB x 1 day. POCUS shows the aorta is larger than the normal diameter of 3 cm, representing an abdominal aortic aneurysm, and measuring approximately 5.6 cm at its largest point. On cross section you are able to see a large mural thrombus with decreased diameter of blood flow through the center. Juliana Jaramillo MD - Kings County Emergency Medicine

Source

https://www.thepocusatlas.com/aorta


Metadata