Aorta - Aortic Graft Endoleak

← Back to List

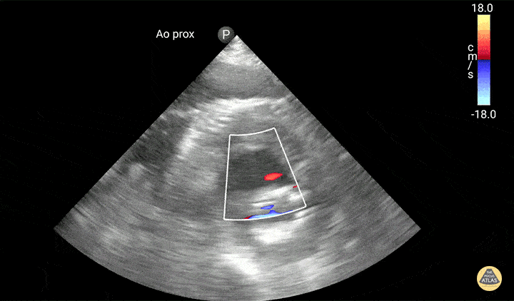
Aorta - Aortic Graft Endoleak

Caption

Active extravasation is seen through endograft into false lumen. Known chronic endoleak, but CT 30 minutes prior to this study showed no active extravasation or impending rupture. Keep an open mind when reassessing your patients, and try not to anchor too much on prior results or others' opinions! Dr. Jaffa

Source

https://www.thepocusatlas.com/aorta


Metadata