Aorta - Aortic Dissection

← Back to List

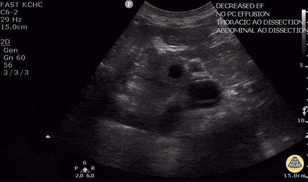
Aorta - Aortic Dissection

Caption

50 y/o M w/ hx of HTN p/w sudden onset upper back pain. POCUS found dissection flap in the descending aorta in both parasternal long view and abdominal aorta. The diagnosis of aortic dissection was quickly confirmed by CT. Given the importance of timely diagnosis with aortic dissection, POCUS allowed rapid and non-invasive diagnosis of a potentially tricky diagnosis, and facilitated expedited treatment and transfer to a cardiothoracic surgery center. Dr. Robert Allen - Kings County Emergency Medicine

Source

https://www.thepocusatlas.com/aorta


Metadata