Aorta - Extensive Type B Aortic Dissection

← Back to List

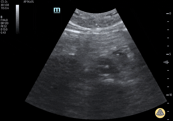
Aorta - Extensive Type B Aortic Dissection

Caption

A 60 year old man was transferred to a trauma facility after presumed mechanical ground-level fall. He was only able to answer yes/no questions, vital signs were normal and stable upon arrival. He denied abdominal or back pain. Upon arrival to receiving facility, POC ultrasound revealed intimal flap within the abdominal aorta extending from the subxiphoid region to the common iliac arteries. Bedside echo revealed no aortic root dilatation, pericardial effusion, or evidence of tamponade. CT scan confirmed thoracic and abdominal aortic dissection. Cardiothoracic surgery was notified immediately. POCUS can play a critical part in allowing for rapid diagnosis and can expedite patient-care, particularly in patients with altered mental status who cannot provide a more robust history. Quinn Fujii, DO Desert Regional Medical Center, Emergency Medicine

Source

https://www.thepocusatlas.com/aorta


Metadata