EA Echo Examples - Post-MI VSD

← Back to List

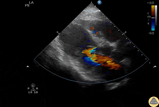
EA Echo Examples - Post-MI VSD

Caption

A parasternal long axis view reveals a ventricular septal defect in a patient presenting with symptoms of GERD, an elevated troponin, and an EKG indicative of myocardial infarction. Image courtesy of Robert Jones DO, FACEP @RJonesSonoEM Director, Emergency Ultrasound; MetroHealth Medical Center; Professor, Case Western Reserve Medical School, Cleveland, OH View his original post here

Source

https://www.thepocusatlas.com/echocardiography


Metadata