Aorta - Subacute Aortic Trauma

← Back to List

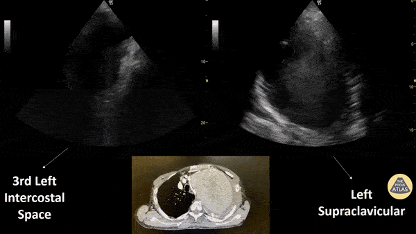
Aorta - Subacute Aortic Trauma

Caption

Patient with a subacute history of chest trauma (occurred approximately 30 days prior) presented reporting intermittent chest pain. He was noted in the ED to have persistent pain and to be sweating. Bedside evaluation included lung ultrasound that identified the cystic structure seen here with a hypoechoic interior with visible swirling. Chest CT shown confirmed this to be sequelae of aortic trauma. Renato Melo, Emergency Physician Brazil. PocusJedi affiliated. @Renato_Melo_

Source

https://www.thepocusatlas.com/aorta


Metadata