Aorta - Ruptured AAA with Active Hemorrhage

← Back to List

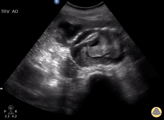
Aorta - Ruptured AAA with Active Hemorrhage

Caption

Elderly female presents to ED with back pain and hypotension. Bedside US shows a ruptured AAA with active hemorrhage in the 9 o’clock position. Image courtesy of Robert Jones DO, FACEP @RJonesSonoEM Director, Emergency Ultrasound; MetroHealth Medical Center; Professor, Case Western Reserve Medical School, Cleveland, OH View his original post here

Source

https://www.thepocusatlas.com/aorta


Metadata