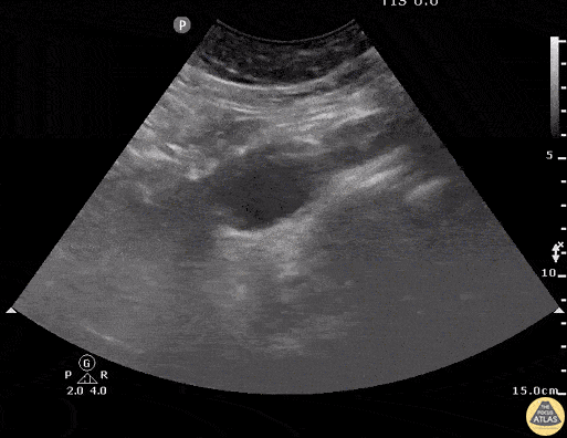
Aorta - Dissection Flap in Abdominal Aorta

← Back to List

Aorta - Dissection Flap in Abdominal Aorta

Caption

An elderly male with hypertension and DM presents with C/O chest pain. Bedside ultrasound performed demonstrating a dissection flap in the lumen of the abdominal aorta. A subsequent parasternal long axis show extension into descending thoracic aorta as well. Image courtesy of Robert Jones DO, FACEP @RJonesSonoEM Director, Emergency Ultrasound; MetroHealth Medical Center; Professor, Case Western Reserve Medical School, Cleveland, OH View his original post here.

Source

https://www.thepocusatlas.com/aorta


Metadata