Aorta - Abdominal Aortic Aneurysm

← Back to List

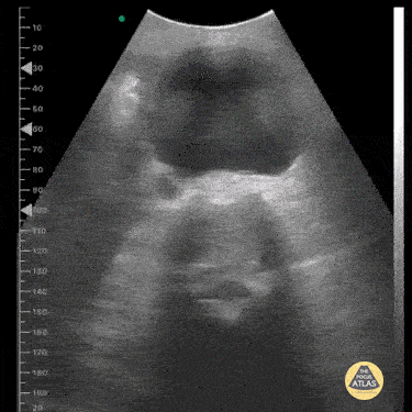
Aorta - Abdominal Aortic Aneurysm

Caption

This image was taken from a pocket wireless device in the mesogastric region. We can see the short-axis aorta with its increased diameter and neighboring anatomical references such as the dorsal spine and inferior vena cava laterally. Image courtesy of Dr. Renato Tambelli

Source

https://www.thepocusatlas.com/aorta


Metadata