Aorta - Distal Aorta

← Back to List

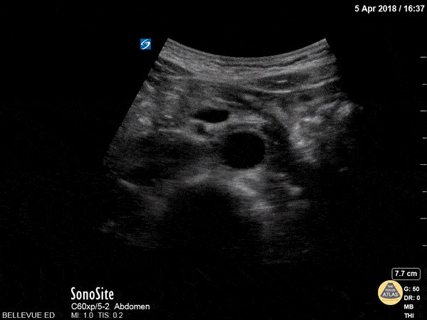
Aorta - Distal Aorta

Caption

In the center of the screen we see the distal aorta in transverse view. As the probe is moved caudally, the aorta bifurcates into the two common iliac arteries. Deep to the aorta we see the round hyperechoic edge of the vertebral body and to the left of the aorta we see the more compressible inferior vena cava.

Source

https://www.thepocusatlas.com/aorta


Metadata