Aorta - AAA Rupture: Not Your Typical Flank Pain

← Back to List

Aorta - AAA Rupture: Not Your Typical Flank Pain

Caption

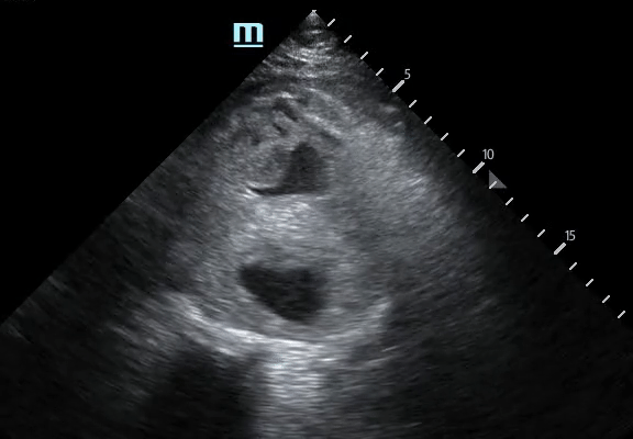
A 61-year-old male was brought in via EMS after a syncopal episode. He was diaphoretic and hypotensive, complaining of severe right flank pain. While IV access was being obtained a bedside ultrasound was performed demonstrating a large abdominal aortic aneurysm with significant heterogeneous intraluminal clot. There is also appreciable focal hypoechoic disruption of the wall of the aneurysm consistent with rupture. The patient was resuscitated in the ED and taken emergently to the OR to surgical repair. Michael Macias, MD @emedcurious

Source

https://www.thepocusatlas.com/aorta


Metadata