EA Echo Examples - Cardiac Standstill

← Back to List

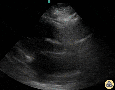
EA Echo Examples - Cardiac Standstill

Caption

A patient presented with out-of-hospital cardiac arrest. POCUS was used to confirm presence of cardiac standstill. Note the absence of movement of the left ventricular free wall. Melissa Myers, MD. Emergency Medicine in Texas. Ultrasound Fellowship Program Director. @melissamyersmd

Source

https://www.thepocusatlas.com/echocardiography


Metadata