← Back to List
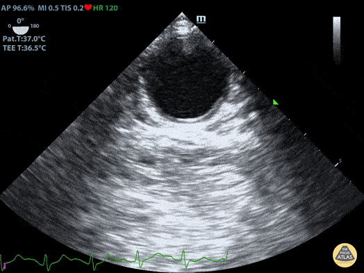
TEE Normal Aorta Short Axis Duncan McGuire, DO, Emergency Medicine, Beaumont Health
https://www.thepocusatlas.com/tee
View: Unspecified Parasternal Long Axis Parasternal Short Axis Apical Four-Chamber Subcostal Four-Chamber Subcostal Inferior Vena Cava Right Upper Quadrant Left Upper Quadrant Suprapubic Longitudinal Suprapubic Transverse Subxiphoid Anterior Thoracic Phrenic
Normal:
Tags:
Notes: