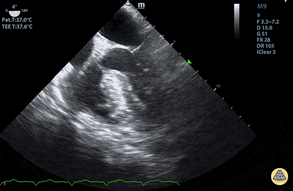
TEE - Mid-Esophageal 4 Chamber View with a Trace Pleural Effusion

← Back to List

TEE - Mid-Esophageal 4 Chamber View  with a Trace Pleural Effusion

Caption

Mid-Esophageal 4 Chamber View with a trace pleural effusion Duncan McGuire, DO, Emergency Medicine, Beaumont Health

Source

https://www.thepocusatlas.com/tee


Metadata