Peds-Gastrointestinal - Splenic Sequestration

← Back to List

Peds-Gastrointestinal - Splenic Sequestration

Caption

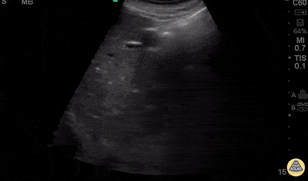
11 y/o F with PMH of sickle cell disease (ss) presents with 2 hours of tactile temperature, chest pain, and vague abdominal pain. Exam demonstrates normal vitals (T99.3) distended abdomen, nonspecific mild tenderness to palpation and enlarged spleen tip to the umbilicus. Ultrasound was used to confirm the size spanning nearly >15cm in length with heterogeneous echogenicity throughout the spleen consistent with splenic sequestration syndrome. Dr. Praneetha Chaganti and Dr. Eddie Rodriguez - Kings County Emergency Medicine

Source

https://www.thepocusatlas.com/pedsgastrointestinal


Metadata