Peds-Gastrointestinal - Normal appendix

← Back to List

Peds-Gastrointestinal - Normal appendix

Caption

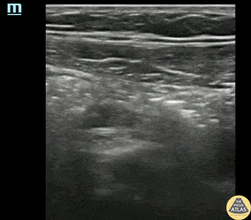
A teenaged female presented with lower abdominal pain, and underwent POCUS to evaluate for appendicitis. A normal appendix was visualized. Seen here, the appendix is seen as a blind ending pouch with a hyperechoic outer border, a relatively hypoechoic wall, and relatively hyperechoic contents. The normal appendix should be less than 7cm in diameter and should be compressible. This patient ultimately was diagnosed with an alternate etiology of her abdominal pain. Dr. Molly Thiessen Denver Health Medical Center

Source

https://www.thepocusatlas.com/pedsgastrointestinal


Metadata