Peds-Gastrointestinal - Intussusception with Target Sign

← Back to List

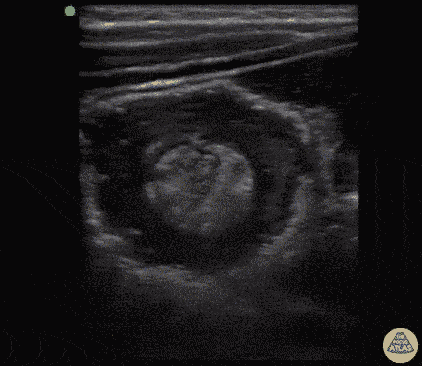
Peds-Gastrointestinal - Intussusception with Target Sign

Caption

4-year-old with colicky abdominal pain, vomiting once this AM, on exam abdomen soft and non-tender and pt well-appearing. POCUS performed demonstrating target sign. A hyperechoic fatty core can be seen within the intussuception inside hypoechoic edematous large bowel on both transverse and longitudinal views. Dr. Sathya Subramaniam, Pediatric EM Fellow - Kings County/SUNY Downstate

Source

https://www.thepocusatlas.com/pedsgastrointestinal


Metadata