Peds-Gastrointestinal - Normal Appendix 1 (3/3)

← Back to List

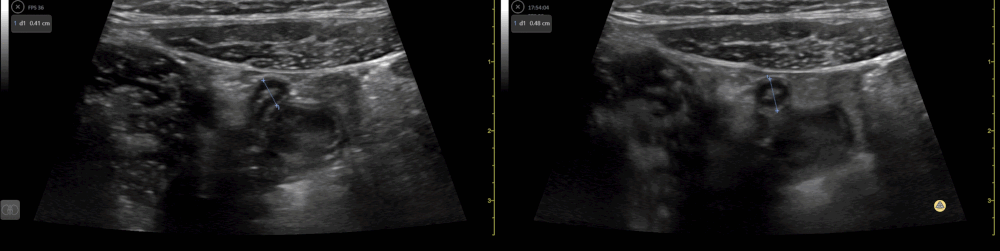
Peds-Gastrointestinal - Normal Appendix 1 (3/3)

Caption

10 y/o with abdominal pain. Normal appendix identified medial to the iliac vessels. Contributor: Elena Chen, MD

Source

https://www.thepocusatlas.com/pedsgastrointestinal


Metadata