Peds-Gastrointestinal - Normal Appendix 1 (1/3)
Caption
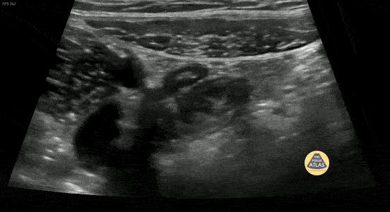
10 y/o with abdominal pain. Normal appendix identified medial to the iliac vessels. Please see other image in series for doppler. Contributor: Elena Chen, MD
10 y/o with abdominal pain. Normal appendix identified medial to the iliac vessels. Please see other image in series for doppler. Contributor: Elena Chen, MD