Peds-Gastrointestinal - SBO

← Back to List

Peds-Gastrointestinal - SBO

Caption

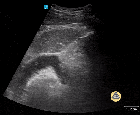
17 yo male with history of abdominal surgeries (g-tube and fundoplication) and chronic constipation who comes in with lower abdominal pain. POCUS shows stool to and fro (tanga sign). Contributor: Paul Khalil, MD Nicklaus Children's Hospital @khalil3paul

Source

https://www.thepocusatlas.com/pedsgastrointestinal


Metadata