Aorta - Normal Celiac Trunk & SMA - Longitudinal

← Back to List

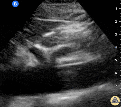
Aorta - Normal Celiac Trunk & SMA - Longitudinal

Caption

At the center of the screen, the proximal aorta can be identified by the emergence of the coeliac trunk and the superior mesenteric artery. This clip is taken at the subxiphoid level, longitudinal to the body’s axis, and with the probe marker oriented towards the head. Dr. Felipe Urriola P., Emergency Unit, Puerto Aysen Hospital, Chilean Patagonia.

Source

https://www.thepocusatlas.com/aorta


Metadata