Peds-Gastrointestinal - Pyloric Stenosis 2 (1/2)

← Back to List

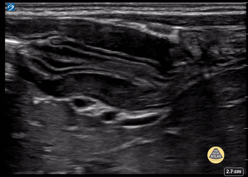
Peds-Gastrointestinal - Pyloric Stenosis 2 (1/2)

Caption

2+ weeks projectile vomiting. Extreme lab abnormalities including Cl 67. CG4: 7.57/67/34/60, base excess >30, lactate 3.23. The pyloric channel is elongated, thickened, and has an absence of trans-pyloric flow. Contributor: Matthew Moake, MD PhD

Source

https://www.thepocusatlas.com/pedsgastrointestinal


Metadata