Peds-Gastrointestinal - Full stomach 2

← Back to List

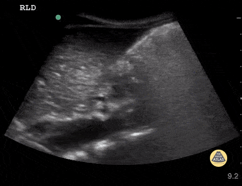
Peds-Gastrointestinal - Full stomach 2

Caption

Ultrasound used to assess gastric content prior to procedural sedation. Sagittal view in the epigastric region using the curvilinear probe with the patient in the right lateral decubitus position. Probe indicator cephalad. The gastric antrum is seen in the upper right with heavily air-admixed content with dirty shadow obscuring deeper content. The liver is seen in the upper left and the aorta in the deep field. Contributor: Matthew Moake, MD PhD

Source

https://www.thepocusatlas.com/pedsgastrointestinal


Metadata